微信掃描二維碼,點擊右上角 ··· 按鈕
轉發給朋友或分享到朋友圈
顯微成像·洞察微觀之美
Microscopic imaging, insight into the beauty of micro
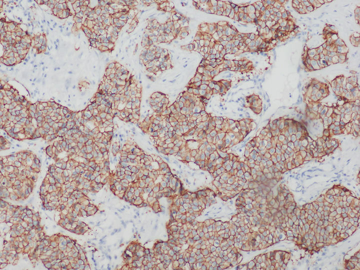
熒光顯微鏡下的乳腺癌HER2檢測
發布時間:2025-10-21
訪問量:109
HER是一類與細胞增殖息息相關的蛋白質,全稱是human epidermal growth factor receptor,中文叫作人表皮生長因子受體。HER蛋白質家族共有四兄弟,其中HER2負責將細胞膜外的生命信息傳導至細胞內,是乳腺癌診斷指標之一,檢測HER2一般用正置熒光顯微鏡,使用免疫組化或熒光原位雜交FISH技術。

在乳腺癌,胃癌等腫瘤篩查領域中,HER2的表達水平是腫瘤檢測的常用指標。目前,HER2基因檢測常見方式以免疫組化IHC技術和FISH技術為主。

免疫組化HER2檢測可以用普通顯微鏡明場觀察實現,設備要求較低,但靈敏度和特異性相對弱。

在乳腺癌HER2基因檢測中,熒光原位雜交(FISH)技術有更高的檢測準確率。

熒光原位雜交技術,其原理基于堿基互補配對的原則,通過對組織樣品特殊處理使帶有熒光物質的探針與目標DNA接合,最后用MF43-N等正置熒光顯微鏡高倍放大直接觀察目標DNA所在的位置,該技術廣泛應用于腫瘤病理診斷、基因定位、染色體研究等領域。

明美MF43-N正置熒光顯微鏡可選搭配高靈敏度熒光相機和MFISH圖像分析系統, 利用熒光基團標記DNA探針,再將標記的DNA探針與樣本DNA進行原位雜交,在熒光顯微鏡下對熒光信號進行計數,為臨床診斷提供依據。
免責聲明
本站無法鑒別所上傳圖片、字體或文字內容的版權,如無意中侵犯了哪個權利人的知識產權,請來信或來電告之,本站將立即予以刪除,謝謝。
微信掃描二維碼,點擊右上角 ··· 按鈕
轉發給朋友或分享到朋友圈